Real results from real patients. See the transformative power of modern dentistry at Y2K Dentistry.
Every smile tells a story. Browse our gallery of before and after results from crowns, bridges, full mouth reconstruction, and more.

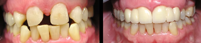
Our beautiful patient could not bite down, close her mouth completely and was very insecure about her smile. We were able to correct this issue with crowns and bridges. Not only can she eat now, but she can finally smile without embarrassment.
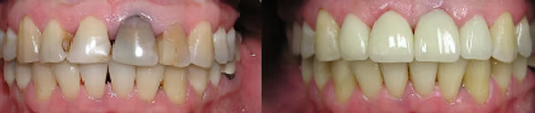
Y2K Dentistry Before and After Porcelain Crowns to Cosmetically Enhance The Smile After Root Canal Discolored The Tooth. What a great smile!

Our exceptional patient had a discolored tooth after a root canal on tooth #9. We enhanced her smile with Porcelain Crowns to hide that discolored tooth and cosmetically enhanced the smile. Four porcelain crowns were added in the front for a beautiful and natural smile.
Before and After Porcelain Crowns

This wonderful patient had lost many of his teeth and was uncomfortable smiling. We are able to rehabilitate his smile with porcelain crowns and bridges. He is so much more confident now and has a brilliant smile that can been seen from across the room.
Before and After Full Mouth Rehabilitation

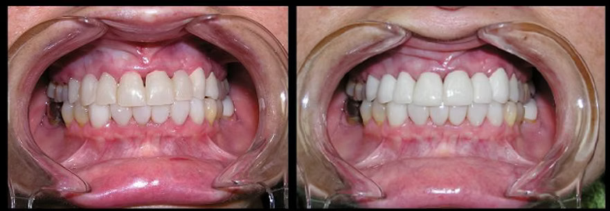
This patient came to us after completing a rehab treatment for drug use. She had lost several of her teeth to drug use after they rotted from the root up. Not only was it unsightly and hard for her to eat, but it was also painful and her mouth was filled with additional bacteria from all of the decay. We were able to create a new smile to reflect her happiness and new found sobriety. We created this new smile with porcelain crowns, implants and a bridge. She is so happy now and smiles continuously. We are very proud of this smile for many reasons.
Before and After Full Mouth Restoration

Our patient had missing teeth as well as discoloration of the bottom row. We lightened his bottom teeth first to bring them up to the most natural white for his mouth. Next we created a bridge and were able to fill in the gap between his front teeth with porcelain crowns. Our patient is much happier with his smile now, and so are we.
Before and After Dental Crowns, Bridges and Teeth Whitening

This patient's initial visit was filled with insecurity about his smile and overall look. This makeover consisted of a combination of procedures including teeth whitening as well as bridges. Once the permanent bridges were delivered, this patient was no longer insecure about his smile but rather he couldn't resist constantly smiling.
Before and After Full Mouth Reconstruction

When this patient first came to us we realized she had temporary bridges rather than permanent ones. She also had no idea! Her smile makeover took only two visits from the time of preparation to the final cementation and completion. With her new permanent bridge, she was all smiles, and so were we!
Before and After Full Bridge
Ready to transform your smile? Schedule a consultation and discover what we can do for you.